
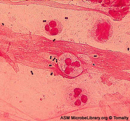
Streptococcus pneumoniae, or the pneumococcus, is a Gram-positive lanceolate coccus usually appearing as a diplococcus, but occasionally appearing singularly or in short chains. Pneumococci are frequently found as normal flora of the nasopharynx of healthy carriers. From 10% to 40% of adults carry the bacterium in the nasopharynx. In the U.S., they are the most common cause of community-acquired pneumonia requiring hospitalization, causing around 500,000 cases per year and usually occuring as a secondary infection in the debilitated or immunocompromised host. The pneumococci also cause over 7,000,000 cases of otitis media per year, are the leading cause of sinusitis in people of all ages, are responsible for 500,000 cases of bacteremia, and 3000 cases of meningitis, being the most common cause of meningitis in adults and children over 4 years of age. Note gram-positive encapsulated diplococci. The large cells with the dark red nuclei are while blood cells.
Encapsulated Streptococcus pneumoniae. © Gloria Delisle and Lewis Tomalty, authors. Licensed for use, ASM MicrobeLibrary.